Nov 27, 2025
32 Views
Comments Off on Fractured Tooth Pain Relief & Treatment Options

Fractured Tooth Pain Relief & Treatment Options

Written by

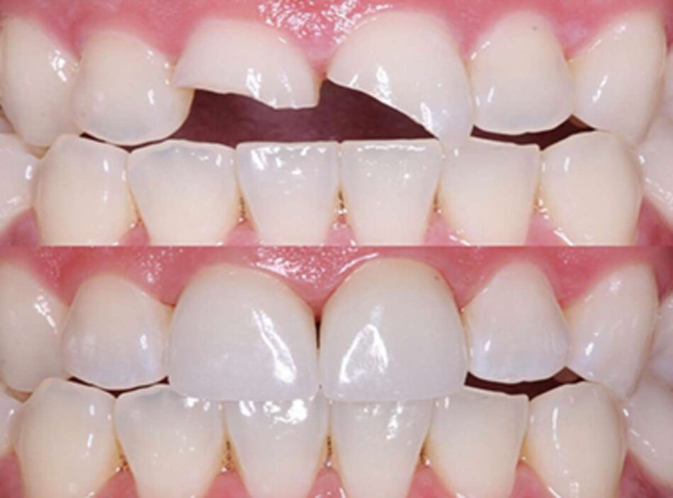
We begin with a thorough examination using digital X-rays and modern diagnostic tools to assess the extent of the fracture. Depending on the severity, our dentists offer a range of effective treatment options. Minor cracks can often be repaired using dental bonding, a quick and affordable procedure that restores the tooth’s natural shape. For deeper fractures, dental crowns provide strong protection and long-lasting durability. In cases where the fracture reaches the inner pulp, root canal therapy may be required to remove infection and save the tooth from extraction.

If the tooth is severely damaged and cannot be restored, a safe extraction followed by a dental implant or bridge ensures a natural-looking replacement. Throughout the process, we prioritize comfort, safety, and long-term oral health.

Our fast and effective solutions help patients regain confidence in their smile. With experienced dentists, modern technology, and personalized treatment plans, we ensure every patient receives the highest standard of care. Whether your tooth was fractured due to an accident, biting something hard, or dental decay, we are here to provide quick relief and lasting results. Book your appointment today for professional fractured teeth treatment you can trust

Article Categories:
Blog