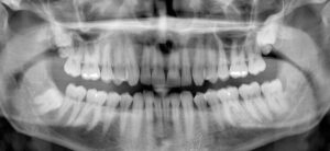
A panoramic dental X-ray provides a broad view of the entire mouth in a single […]
Panoramic dental X-rays are a valuable diagnostic tool in oral healthcare, offering a complete view […]
Panoramic dental X-rays are a type of imaging that captures a complete view of the […]
A panoramic dental X-ray is an important step in maintaining good oral health and preparing […]
Understanding the expenses associated with panoramic dental X-rays can help individuals plan for their oral […]
Dental health plays an essential role in overall well-being, and one of the most useful […]
Dental health is a crucial aspect of overall well-being, and modern technology has made it […]
Panoramic dental X-rays have become an essential diagnostic tool in modern dentistry. These advanced images […]
When visiting the dentist, one procedure that often raises eyebrows—not just for its technology, but […]